Dicom 2 PNG

Mido Sasuke profile picture

CT vs. MRI: A Detailed Comparison for Technologists

Computed Tomography (CT) and Magnetic Resonance Imaging (MRI) are two of the most powerful diagnostic tools in modern radiology. While both produce detailed, cross-sectional images of the body, they are fundamentally different technologies with distinct strengths, weaknesses, and clinical applications. Understanding when and why to use one over the other is crucial for any medical professional.

Core Technology: Radiation vs. Magnetism

The biggest difference lies in how they create images.

  • CT uses ionizing radiation. A rotating X-ray tube and detector array measure the attenuation of X-rays as they pass through the body. It is essentially a sophisticated, 3D version of a standard X-ray.
  • MRI uses no ionizing radiation. It utilizes a powerful magnetic field and radio waves to manipulate the alignment of hydrogen protons in the body. The signals emitted by these protons are used to construct the image.

Key Differentiating Factors

1. What They Image Best

CT excels at imaging bone, blood, and lung tissue. It is fantastic for identifying dense structures. Its ability to quickly detect acute bleeds and complex fractures makes it the workhorse of the emergency room.

MRI excels at imaging soft tissues. It provides unparalleled detail of the brain, spinal cord, ligaments, tendons, and muscles. This makes it the superior choice for diagnosing conditions like ligament tears, tumors in soft tissue, and neurological diseases.

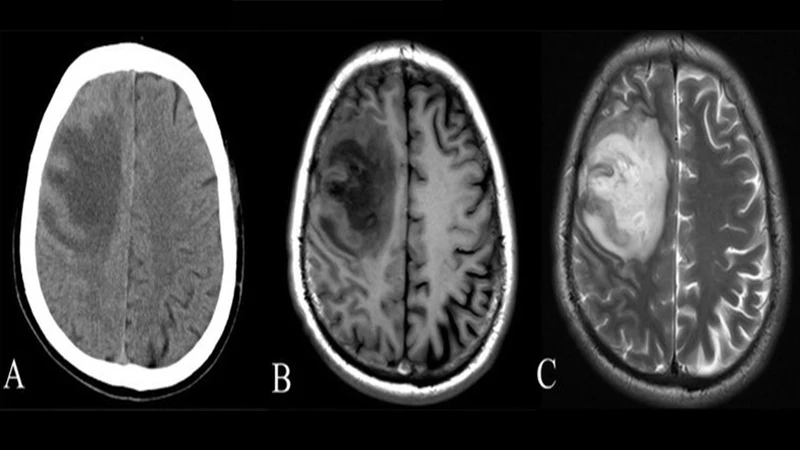
Side-by-side comparison of a CT scan and an MRI of a head, showing CT's detail in bone and MRI's superior detail in brain tissue.

2. Speed and Patient Experience

CT is incredibly fast. A scan of the head or abdomen can be completed in under a minute, and a full-body trauma scan in just a few minutes. The gantry is a wide, open ring, making it less claustrophobic for patients.

MRI is slow. A typical exam can last from 30 to 60 minutes, or even longer. The patient must lie still in a narrow tube, and the machine produces loud, repetitive noises. This can be challenging for claustrophobic, anxious, or pediatric patients.

3. Safety Considerations

CT involves radiation exposure. While the dose for a single scan is low and considered safe when medically justified, cumulative radiation exposure over a lifetime is a concern. The ALARA principle is always applied.

MRI has no radiation risk, but the powerful magnet poses a significant safety threat. Thorough patient screening is mandatory to ensure there is no metal in or on the body. Pacemakers, certain implants, and metal fragments can be absolute contraindications.

4. Cost and Availability

CT scanners are generally less expensive to purchase and maintain than MRI machines. As a result, they are more widely available in hospitals and imaging centers.

MRI is more expensive, both for the equipment and for the individual exam. This can limit its availability in smaller or more remote healthcare facilities.

At-a-Glance Comparison Table

Feature CT Scan MRI
TechnologyX-rays (Ionizing Radiation)Magnetic Fields & Radio Waves
Best ForBone, Lungs, Acute Bleeds, TraumaSoft Tissues (Brain, Spine, Joints)
SpeedVery Fast (minutes)Slow (30-60+ minutes)
Safety RiskRadiation ExposurePowerful Magnet (Metal Danger)
Patient ComfortOpen, quiet, fastNarrow, loud, long

Conclusion: Complementary, Not Competing

It's a misconception to think of CT and MRI as competitors. In reality, they are powerful, complementary tools. The choice of which modality to use depends entirely on the clinical question being asked. A trauma patient with a head injury will get a CT first to quickly rule out a bleed or fracture. A patient with chronic knee pain will get an MRI to evaluate the ligaments and cartilage. A skilled technologist understands the strengths of both, ensuring the right tool is used for the right job to achieve the best possible diagnosis for the patient.

Comments