Dicom 2 PNG

Mido Sasuke profile picture

Learning Hub

Medical Imaging Glossary

Confused by a term? Find clear definitions for common words and acronyms in radiology.

Stylized DICOM file icon

What is a DICOM File? A Complete Guide

A deep dive into the DICOM format. Understand what a .dcm file is, how it stores medical data, and its importance in modern medicine.

Abstract image of a brain with digital circuits

What is Artificial Intelligence (AI) in Radiology? A Foundational Guide

Explaining machine learning, deep learning, and how algorithms are trained to analyze medical images.

A doctor and a robot collaborating over a medical image

Will AI Replace Radiologists and Technologists? An Honest Look

An analysis of why AI is more likely to augment, not replace, radiologists and technologists.

A chest x-ray with AI-drawn circles on it

How AI is Helping to Read Chest X-Rays and Mammograms

A look at practical AI applications like triage and computer-aided detection in high-volume studies.

A futuristic scanner console

AI for Workflow Optimization: A Technologist's Perspective

An look at how AI is being used to improve the workflow for radiology technologists.

Scales of justice with a brain and AI icon

The Ethical Challenges and Biases of AI in Medical Imaging

An exploration of algorithmic bias from training data, data privacy, and accountability for errors.

Abstract futuristic medical technology graphic

The Future of AI in Radiology: What to Expect in the Next 5 Years

A look at near-future applications of AI, including predictive analytics and automated reporting.

A modern CT scanner in a hospital room

An Introduction to Computed Tomography (CT)

Learn how CT scanners use X-rays and computer processing to create detailed cross-sectional images.

A modern MRI scanner in a hospital room

The Principles of Magnetic Resonance Imaging (MRI)

Explore how MRI uses powerful magnets and radio waves to generate sophisticated images of soft tissues.

An ultrasound probe on gel

An Introduction to Ultrasound: Seeing with Sound Waves

Learn how ultrasound imaging works using sound waves and its common applications like obstetrics.

A colorful PET scan image of the human body

Nuclear Medicine Explained: An Overview of PET and SPECT

Understand how radiotracers are used to image physiological function with PET and SPECT scans.

A C-arm fluoroscopy machine in an operating room

A Guide to Fluoroscopy: Visualizing the Body in Real-Time

Learn about the 'live X-ray movie' technique used for procedures like barium swallows and angiography.

A modern mammography machine

Mammography: The Gold Standard in Breast Imaging

Learn about mammography, the role of compression, and advances like 3D tomosynthesis.

A physician working with a C-arm

An Introduction to Interventional Radiology: Image-Guided Procedures

Learn how physicians use medical imaging to perform minimally invasive procedures and treatments.

A 3D CTA reconstruction of arteries

A Guide to CT Angiography (CTA): Visualizing Blood Vessels

Learn how CTA uses IV contrast and precise timing to create detailed 3D images of arteries and veins.

A split image of a CT and MRI scanner

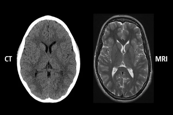
CT vs. MRI: A Detailed Comparison for Technologists

An in-depth comparison of the physics, speed, cost, and clinical applications for each modality.

A split image of an x-ray machine and a CT scanner

X-ray vs. CT Scan: What's the Difference?

A simple guide for patients explaining the key differences between a standard X-ray and a CT scan.

Montage of T1, T2, FLAIR images

Understanding MRI Sequences: A Guide to T1, T2, FLAIR, and DWI

A deep dive into common MRI sequences, what tissues they highlight, and their clinical uses.

An IV bag or vial of contrast agent

The Role of Contrast Agents in Radiology: A Practical Guide

Learn about iodine, gadolinium, and barium-based contrast agents, including their uses and safety.

An image with a clear motion or metal artifact

Common Imaging Artifacts (CT & MRI) and How to Troubleshoot Them

A technologist's guide to recognizing and preventing common artifacts like motion, metal, and aliasing.

A computer screen with a PACS and RIS interface

An Introduction to PACS and RIS: The IT Backbone of Radiology

Learn the difference between PACS for image storage and RIS for workflow management.

A code-like view of DICOM tag data

DICOM Tags Explained: A Deep Dive into Medical Image Metadata

Learn about the hidden metadata in every medical image that stores patient and study information.

Split image showing DICOM file icons vs a NIfTI brain icon

DICOM vs. NIfTI: Understanding the Key Differences for Neuroimaging

A comparison of why DICOM is the clinical standard and NIfTI is preferred for academic research.

The radiation symbol inside a shield

The ALARA Principle: A Practical Guide to Radiation Safety

A guide to the ALARA principle, covering the three cardinal rules: Time, Distance, and Shielding.

A diagram of a patient being positioned for an x-ray

Patient Positioning in Radiography: A Visual Guide

A guide to positioning for common projections like chest, hand, and foot X-rays.

An image with a black redaction box over a name

How to Anonymize DICOM Files for Research and Teaching

A practical guide on removing identifying tags and burning-in annotations to protect privacy.

A technologist at a scanner console

A Day in the Life of a Radiology Technologist

An inside look at the daily responsibilities, from quality control to patient care to image acquisition.

A branching path or ladder graphic

Career Paths & Specializations in Radiologic Technology

Explore career paths beyond general X-ray, including CT, MRI, Interventional Radiology, and more.

A close-up of an IV line in a patient's arm

Why Do I Need an IV Contrast for My Scan? (CT & MRI)

A patient's guide on why IV contrast is used to highlight blood vessels, organs, and abnormalities.

A stylized document icon with a magnifying glass

How to Read Your Radiology Report: A Guide to Common Terms

A patient-friendly guide to understanding your radiology report and its common terms.

A clipboard with a checklist

Preparing for Your Medical Imaging Exam: A Checklist for Patients

A simple checklist for patients on how to prepare for exams like CT, MRI, and Ultrasound.

An emergency room scene or a clock with an alert symbol

What is a "STAT" Read in Radiology? The Race Against Time

An explanation of what a 'STAT' read means and how the workflow is prioritized for critical findings.

A chart or graphic explaining mSv and Gray

Understanding Radiation Dose: mSv, Gray, and Dose Reports

A guide to the units of radiation measurement, including absorbed dose (Gray) and effective dose (Sievert).

A portable x-ray machine at a patient's bedside

A Technologist's Guide to Portable X-ray

A guide to portable radiography, covering its use cases and unique technical and safety challenges.

A trauma bay or a multi-injury CT scan

The Role of Radiology in Trauma: The Primary Survey

An overview of how imaging is used in the critical 'primary survey' of a trauma patient.

Research Topics Coming Soon

This section will feature in-depth research topics and case studies in the field of medical imaging. Please check back later for updates!