Dicom 2 PNG

Mido Sasuke profile picture

What is a "STAT" Read in Radiology? The Race Against Time

In the world of medical terminology, few words carry as much urgency as "STAT." Derived from the Latin word "statim," meaning "immediately," a STAT order in radiology signifies a medical emergency. It is a signal that a patient's condition is potentially life-threatening and that the results of their imaging exam are needed without delay to guide critical, time-sensitive treatment decisions.

The Prioritized Workflow

When a scan is ordered STAT, it triggers a chain of accelerated actions throughout the radiology department.

  1. Immediate Scanning: The technologist must perform the exam as soon as possible. In a busy emergency department, this often means pausing routine cases to get the STAT patient on the scanner.
  2. Priority Worklist: As soon as the images are sent to the PACS, the study is flagged with the highest priority. It automatically jumps to the top of the radiologist's reading list, ahead of of all routine outpatient studies.
  3. Immediate Interpretation: The radiologist must stop what they are doing, open the STAT study, and interpret it immediately.
  4. Direct Communication: The process is not complete until the radiologist has communicated the critical findings directly to the ordering physician, usually via a phone call. This verbal communication ensures that treatment can begin instantly, even before the final written report is completed.
A diagram showing the STAT workflow, from emergency patient to instant radiologist communication.

What Kind of Cases are Considered STAT?

STAT orders are reserved for conditions where a delay of minutes or hours could lead to severe consequences or death. The most common STAT exams come from the emergency department.

  • Trauma: After a major accident, a "trauma scan" (often a CT of the head, neck, chest, abdomen, and pelvis) is performed to quickly identify internal bleeding, organ damage, or major fractures.
  • Stroke: A non-contrast head CT is the primary tool for diagnosing a stroke. It can instantly determine if the stroke is caused by a bleed (hemorrhagic) or a clot (ischemic), which require completely different treatments.
  • Pulmonary Embolism (PE): A CTA of the chest is used to find a potentially fatal blood clot in the lungs.
  • Aortic Dissection or Rupture: A CTA of the chest and abdomen can identify a tear or rupture in the body's main artery, a surgical emergency.
  • Appendicitis or Bowel Obstruction: An abdominal CT can quickly diagnose the cause of severe abdominal pain.
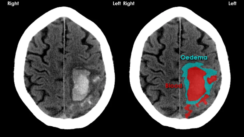
A head CT image clearly showing a large, bright area of acute bleeding, a typical STAT finding.

The Role of the Technologist

For the technologist, a STAT case requires a unique combination of speed and precision. They must work quickly to get the patient scanned, but they cannot sacrifice quality. The images must be free of artifacts and of diagnostic quality the first time, as there is no time for repeats. This high-pressure environment demands a calm demeanor, excellent technical skills, and clear communication with the rest of the medical team.

Conclusion: A Lifeline in an Emergency

The STAT system is a critical component of emergency medicine. It ensures that the powerful diagnostic capabilities of medical imaging are brought to bear on the most critical cases with the speed and efficiency required to save lives. It represents a highly coordinated effort between physicians, technologists, and radiologists, all working together against the clock to provide the best possible outcome for the patient.

Comments