Dicom 2 PNG

Mido Sasuke profile picture

Why Do I Need an IV Contrast for My Scan? (CT & MRI)

If you've been scheduled for a CT or MRI scan, your doctor may have ordered it "with contrast." This means that during the procedure, a technologist will inject a special fluid, called a contrast agent, into a vein in your arm. While a "non-contrast" scan provides a great deal of information, adding contrast can act like a spotlight, highlighting specific areas and providing a much clearer picture for the radiologist.

What is Contrast and How Does It Work?

Contrast agents are substances that temporarily change the way parts of your body appear on a medical scan. They don't permanently dye your organs; they simply enhance the visibility of certain tissues or blood vessels before being naturally filtered out by your kidneys.

  • For CT Scans: The contrast agent is iodine-based. Iodine is a dense material that effectively blocks X-rays, causing blood vessels and organs with a rich blood supply to appear bright white on the image.
  • For MRI Scans: The contrast agent is gadolinium-based. Gadolinium is a substance that enhances the magnetic properties of nearby water molecules, causing them to stand out and appear very bright on the scan.
A clinical photo of a technologist administering IV contrast into a patient's arm before a scan.

Top Reasons Why Contrast is Used

A radiologist will request a contrast-enhanced scan when they need to see more detail than a standard scan can provide. Here are the most common reasons:

1. To Visualize Blood Vessels

This is one of the most common uses. By injecting contrast into the bloodstream, radiologists can create detailed maps of arteries and veins. This is essential for diagnosing conditions like aneurysms (bulges in a vessel wall), blood clots (like a pulmonary embolism), and stenosis (narrowing of a vessel).

2. To Characterize Tumors and Masses

Many tumors, both cancerous and benign, develop their own unique blood supply. How a mass "enhances"—or lights up—after contrast injection gives the radiologist important clues about what it might be. Some patterns of enhancement are characteristic of specific types of tumors, helping to guide the diagnosis.

3. To Detect Inflammation and Infection

Areas of inflammation or infection in the body tend to be "hypervascular," meaning they have more blood flow than normal surrounding tissue. After a contrast injection, these areas will light up brightly, making them much easier to identify. This is crucial for diagnosing conditions like abscesses or inflammatory diseases.

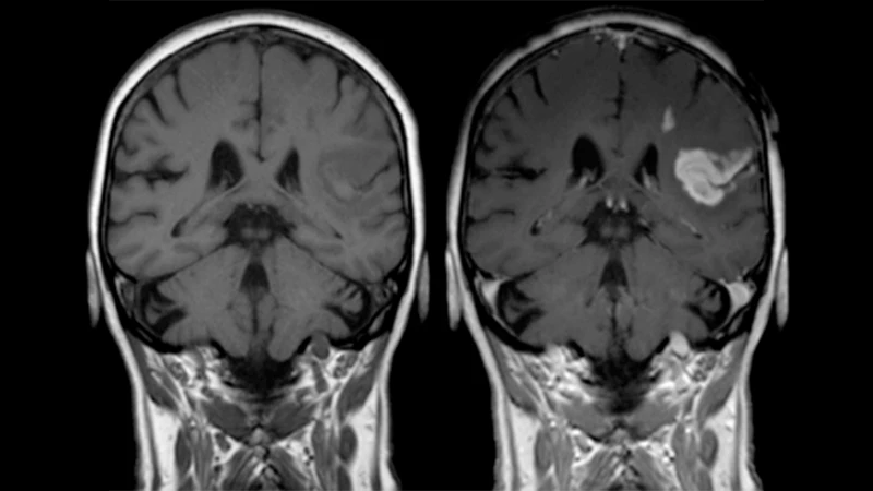
An MRI of a brain showing a brightly enhancing tumor after the administration of gadolinium contrast.

Is It Safe?

Yes, for the vast majority of patients, IV contrast is very safe. Before your scan, the technologist will ask you a series of safety questions, focusing on any history of allergies and, most importantly, your kidney function. Healthy kidneys are needed to filter the contrast out of your body. It's normal to feel a warm sensation spreading through your body during the injection, and some people notice a temporary metallic taste in their mouth. These feelings pass very quickly.

Conclusion: Getting the Clearest Possible Picture

Think of a non-contrast scan as a standard photograph and a contrast-enhanced scan as a high-definition photograph where the most important subjects are perfectly illuminated. While not needed for every situation, IV contrast is an invaluable tool that gives radiologists the extra detail they need to make the most accurate and confident diagnosis possible, which ultimately leads to better care for you.

Comments